当院の特徴
Feature-
01
ライフステージに合わせた診療
当院では、ライフステージに合わせた丁寧な診療を心がけております。お子様のむし歯予防や成長をサポートする治療から、高齢の方の口腔ケアまで、幅広い年代の方が安心して通える歯科医院です。ご家族みなさまの笑顔を守るため、より良い治療をご提案いたします。
-
02
痛みを抑えた治療
千葉県市川市にある当院では痛みを抑える治療を心がけ、表面麻酔を事前に使用して注射の痛みを和らげます。さらに、麻酔の際は細い針を用い、刺す感覚を抑えるためにゆっくり丁寧に麻酔を行います。歯科治療が苦手なお子様でも安心して受診できるよう、さまざまな工夫を行っています。
-
03
豊富な設備
千葉県市川市に位置する当院の診療室は、プライバシーを考慮して半個室設計になっています。また、デジタルレントゲンや拡大鏡など、治療の成功率を高めるための精密機器を整え、患者様一人ひとりにより良い治療を提供できるよう努めています。
-
04
専門家による安心の治療
千葉県市川市のニコラ歯科北国分では、むし歯や歯周病、入れ歯の治療をはじめ、セラミックやインプラント、矯正といった専門的な治療まで幅広く対応しています。また、「歯医者が苦手」と感じる方でも安心して通えるよう、快適な空間を提供し、丁寧なコミュニケーションを大切にしています。
-
05
衛生管理を徹底した環境
千葉県市川市に位置する当院では、全ての患者様が安心して来院できるように院内の衛生管理を徹底しています。また、治療機器については専用の滅菌機を使用し、徹底した衛生対策を講じています。
-
06
北国分駅(北総線)から徒歩1分
当院は、北総線(北総鉄道)の北国分駅からわずか1分の立地にあり、忙しい日常の中でも手軽に通院できるのが魅力です。北国分駅周辺で歯医者をお探しの方は、ぜひお気軽にご来院ください。
診療案内
Treatment
むし歯・歯周病治療
むし歯は早期発見・早期治療が重要で、痛みが出る前に処置を行うことで歯を長く保つことができます。また、歯を失う原因の第一位である歯周病は“静かに進行する病気”とも呼ばれ、自覚症状がないまま悪化することがあります。当院では、歯石除去や歯周ポケットのクリーニングなどを通じて専門的に治療し、歯と歯ぐきを守ります。むし歯も歯周病も、当院におまかせください。

小児歯科
当院では、お子さまのむし歯予防と健康な歯の成長をサポートする小児歯科に力を入れています。フッ素塗布やシーラント、歯みがき指導などを通じて、むし歯になりにくい強い歯を育てます。小さなお子さまでも怖がらずに通えるよう、やさしく丁寧な診療を心がけております。
千葉県市川市堀之内3-23-23 パピヨン デュ シュウ 1F-C
△…土・日の午後診療は14:00~17:00となります。
※祝日は休診となります。
ニコラ歯科北国分
〒272-0837 千葉県市川市堀之内3-23-23
-
[診療時間]
9:30-13:00 / 14:30-19:00
※土・日の午後診療は14:00-17:00までとなります - [休診日] 祝日
コンセプト
Concept満足度の高い治療を日々目指しております
当院では、患者様に対して2つのコンセプトの元、
日々診療しています。
-
01 ご自身の歯をできるだけ
長く維持してほしい市川市北国分エリアに位置する当院では、できるだけ患者様ご自身の歯を長持ちさせるために削らない・抜かない治療を目指しています。歯は一度削ってしまったり抜いてしまうと2度と再生することはないので、削る量は最小限にとどめ、残せる歯はしっかりと残す治療法を選択します。 また、予防や定期的なクリーニング、治療と併せてメインテナンスを行ってくことで、お口のケアを通じた健康の維持増進に力を入れています。
-
02 口腔を通して全身の健康維持に
貢献していきたい市川市北国分エリアにある当院では、高性能なデジタルレントゲンや拡大鏡など、治療の精度を向上させるための機器を積極的に導入しています。これにより、患者様一人ひとりにより良い治療を提供できるよう努めています。

院長紹介
Greetingこの度、北国分にて開院することとなりました。当院では、患者様お一人おひとりに寄り添い、皆様の歯科に対する不安や緊張を和らげながら治療を進めてまいります。
また、一般的な歯科治療から専門的な治療まで幅広く対応しておりますので、お口のトラブルや疑問などご遠慮なくお尋ねください。
当院は予約優先制です
当クリニックでは、予約優先制を採用しております。
以下のお電話番号またはWEBからのご予約をお願いいたします。
※緊急の診療にも対応していますので、ご来院前にはお電話での連絡をお願い致します。
当院の治療理念
Philosophy
患者様が安心して通院できるように
私たちは常に高い満足度を提供する治療を心掛けています
当院では、「患者様にはできる限りご自身の歯を長持ちさせていただきたい、そして口腔を通じて全身の健康に寄与したい」という思いから、質の高い治療を提供するためにさまざまな工夫を行っています。
疾患のメカニズムや今後のリスクについて、患者様にわかりやすく説明することを心がけており、丁寧な手技で安全で安心な治療を実現します。また、将来を見据えた治療計画を提案し、日々技術を磨いているドクターが、皆様の口腔の健康を長期間にわたりサポートしますので、どんなことでもお気軽にご相談ください。
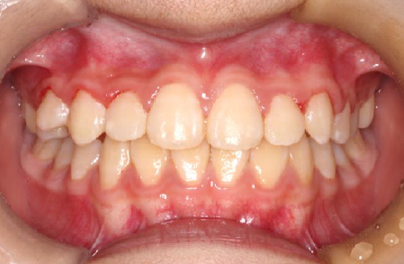
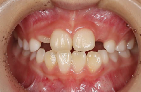
Before
After
| 主訴 | 歯並びが気になる |
|---|---|
| 治療期間・回数 | 1~3年・月1回の通院 |
| 治療方法 | 上顎前方牽引装置、拡大床、前歯部マルチブラケット |
| 費用 | 基本料金¥385,000(税込) 毎月来院時の調整料¥5,500(税込) |
| 診察前の注意点 | 治療期間が長くなる、一時的に見た目が悪くなる、お子様の協力が必要となる |






