症例紹介
カテゴリー:
矯正歯科
矯正歯科
小児矯正
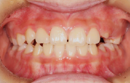
Before
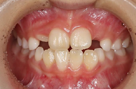
After
| 主訴 | 歯並びが気になる |
|---|---|
| 治療期間・回数 | 1~3年・月1回の通院 |
| 治療方法 | 上顎前方牽引装置、拡大床、前歯部マルチブラケット |
| 費用 | 基本料金¥385,000(税込) 毎月来院時の調整料¥5,500(税込) |
| 診察前の注意点 | 治療期間が長くなる、一時的に見た目が悪くなる、お子様の協力が必要となる |
矯正歯科
小児矯正
Before
After
| 主訴 | 歯並びが気になる |
|---|---|
| 治療期間・回数 | 1~3年・月1回の通院 |
| 治療方法 | リンガルアーチ、上下拡大床 |
| 費用 | 基本料金¥385,000(税込) 毎月来院時の調整料¥5,500(税込) |
| 診察前の注意点 | 治療期間が長くなる、お子様の協力が必要となる |
矯正歯科
小児矯正
Before
After
| 主訴 | 歯並びが気になる |
|---|---|
| 治療期間・回数 | 1~3年・月1回の通院 |
| 治療方法 | 拡大床、上顎3番の牽引、前歯部マルチブラケット |
| 費用 | 基本料金¥385,000(税込) 毎月来院時の調整料¥5,500(税込) |
| 診察前の注意点 | 治療期間が長くなる、一時的に見た目が悪くなる、お子様の協力が必要となる |